QUI DOIT BENEFICIER D’UNE RECHERCHE D’AAA,
Le dépistage doit être systématique chez tous les hommes entre 65 et 75 ans ayant des antécédents de tabagisme. Il doit aussi être systématique chez les patients ayant des antécédents familiaux d’anévrisme de l’aorte. Ce dépistage est réalisé par un examen échographie Doppler.
De plus, l’existence d’un anévrisme artériel dans un autre territoire, notamment au niveau de l’artère poplité, fémorale ou de l’aorte thoracique, impose la recherche d’un anévrisme de l’aorte abdominale.
Introduction
L’échographie de l’aorte abdominale s’attachera à rechercher un anévrysme éventuel voire une dissection. L’analyse des branches de l’aorte inclut le tronc coeliaque, l’artère mésentérique supérieure, les artères rénales, l’artère mésentérique inférieure puis les artères iliaques.
Rappels anatomiques
L’aorte abdominale débute en sous-diaphragmatique et s’étend jusqu’à sa division en artères iliaques au niveau de l’ombilic. Afin de les visualiser correctement il est particulièrement important de noter que les artères mésentériques se développent en antérieur de l’aorte.
Visualisation de l’aorte et des branches
Aorte abdominale
On utilise la sonde abdominale en position transverse, en débutant par le creux épigastrique puis en descendant jusqu’à la bifurcation iliaque au niveau ombilical.
Le point de repère pour la profondeur est le corps vertébral (première image). Cette vue sert à rechercher une dilatation ou un anévrisme.
Une fois l’aorte centrée on effectue une rotation horaire de 90° pour obtenir une coupe sagittale (seconde image). Cette coupe est utilisée pour la recherche d’athérome ou de dissection.
Athérome
Les mesures de diamètre doivent être faites en transverse (première image) et en sagittal (seconde image).
L’épaisseur normale de l’intima aortique abdominale est de 1mm et augmente avec l’âge. Une épaisseur de 3mm peut être considérée comme pathologique.
Les plaques athéromateuses peuvent être localisées ou diffuses et tendent à se calcifier avec le temps, devenant hyperéchogènes, comme la seconde image. L’absence de flux doppler couleur au sein de la plaque est la règle.
Dissection
L’image caractéristique est le flap intimal, témoin du décollement de l’intima.
On observe une bande échogène dans la lumière supposée de l’aorte abdominale. L’examen s’attachera à retrouver l’origine de la dissection (voir aorte thoracique).
Anévrisme
Les mesures de diamètre doivent être faites en transverse afin d’éviter toute sous-estimation. En raison de la différence de taille entre systole et diastole, trois mesures doivent être effectuées et la moyenne réalisée.
Pour simplifier, le diamètre considéré comme normal de l’aorte abdominale est de 20-25mm avec une tolérance communément admise jusqu’à 30mm, ces valeurs pouvant varier selon le morphotype du patient. Le risque de rupture devient significatif pour les anévrismes supérieurs à 40 mm et augmente linéairement.
Les mesures effectuées sur un anévrisme doivent inclure le diamètre total incluant le thrombus (flèche bleue) et la lumière. Les images suivantes montrent un anévrisme majeur de 8cm partiellement thrombosé. Il est possible d’utiliser le doppler couleur dans ces circonstances, ce qui permettra d’objectiver l’absence de flux au niveau de la thrombose. L’examen sera complété par une coupe sagittale afin de préciser l’étendue de l’anévrisme (seconde image).
ANÉVRISME DE L’AORTE ABDOMINALE
L’aorte est le plus gros vaisseau de l’organisme, sa partie située dans l’abdomen se divise en deux artères iliaques pour apporter le sang aux 2 membres inférieurs. L’anévrisme de l’aorte abdominale est une dilatation ou une augmentation de calibre de l’aorte abdominale. On parle d’anévrisme lorsque le diamètre de l’aorte mesure plus de 30 mm (3 cm) et d’anévrysme iliaque lorsque le diamètre de l’artère iliaque mesure plus de 20 mm (2 cm).
C’est une pathologie fréquente, on estime que 5 à 8% des hommes de plus de 65 ans sont porteurs d’un anévrisme de l’aorte abdominale, mais la majorité d’entre eux sont de petite taille.
La grande majorité (85%) des anévrismes de l’aorte abdominale est située sous les artères rénales et les artères iliaques sont souvent aussi anévrismales. Si l’anévrisme englobe l’origine des artères rénales, on parle alors d’anévrisme pararénal.
Les anévrismes de l’aorte abdominale sont d’origine dégénérative. On attribue la formation de l’anévrisme à la perte de l’intégrité mécanique de la paroi de l’artère associée à un mauvais rapport entre la production et la dégradation des constituants de cette paroi.
Les 4 principaux facteurs de risque
Les quatre principaux facteurs de risque de survenue d’un anévrisme de l’aorte abdominale sont :
l’âge, l’âge moyen des patients opérés est d’environ 70 ans, c’est exceptionnel avant 50 ans ;
le tabagisme actif ou passé ;
les antécédents familiaux d’anévrysme de l’aorte ;
le sexe masculin. Le risque de développer un anévrysme est plus faible chez les femmes et chez les patients diabétiques.
SYMPTOMES
La majorité des anévrysmes de l’aorte abdominale sont asymptomatiques. Ils sont le plus souvent détectés grâce à un examen d’imagerie demandé pour une autre indication. Dans les rares cas où il est symptomatique c’est la douleur le symptôme le plus fréquent. Parfois le patient décrit un « battement » au niveau de l’abdomen ou le médecin palpe une masse pulsatile.


RISQUE PRINCIPAL DE L’ANEVRISME : LA RUPTURE
La complication la plus redoutable de l’anévrisme de l’aorte abdominale (AAA) est la rupture, qui entraînera des taux de mortalités atteignant le 50%. La rupture pourra être contenu par les structures avoisinantes ou entraîner un choc hémorragique. La plupart des anévrismes sont asymptomatiques et se rompront suite à un trauma ou une contraction isométrique. À l’examen physique, l’on notera une douleur déchirante au dos, abdomen ou flanc accompagnés de signes de choc et parfois une masse pulsatile palpable. L’investigation devra se faire promptement à l’aide de l’ÉDU afin d’emmener le patient plus vite possible en salle d’intervention pour une réparation endovasculaire ou par chirurgie ouverte. Au diagnostic différentiel, pourront mimer la rupture d’AAA la colique néphritique et l’ischémie intestinale aigue entre autres. La prise en charge pré-opératoire impliquera la réanimation liquidienne aggressive (avec hypotension permissive). Malgré tout, la mortalité atteindra presque 100% chez les ruptures compliquées d’un choc hémorragique et 50% des victimes décéderont avant d’arriver à l’hôpital
Le principal risque de l’anévrisme de l’aorte abdominale est la rupture. C’est l’issue de sang en dehors de l’aorte par déchirure de la paroi de l’aorte anévrismale. C’est une complication gravissime et souvent fatale dont mortalité globale atteint 90%. Le meilleur traitement de l’anévrysme rompu reste donc le traitement préventif, c’est à dire le traitement de l’anévrysme avant la rupture. Le risque de rupture est directement corrélé au diamètre de l’anévrisme. On estime que le risque de rupture annuel pour un anévrisme inférieur à 5 cm est inférieur à 1%, pour atteindre environ 8% pour un anévrisme de 5 à 5,9 cm, 10 à 12% pour un anévrisme compris entre 6 à 6,9 cm et 32% pour un anévrisme inférieur de plus de 7 cm.
L’anévrisme de l’aorte abdominale peut également être responsable d’ischémie aigue de membre inférieur par embolie à partir du thrombus aortique, il peut également s’infecter.
EXAMENS COMPLEMENTAIRES
Les examens les plus pertinents dans la prise en charge d’un anévrisme de l’aorte abdominale sont l’échographie Doppler artériel, l’angioscanner de l’aorte et des artères des membres inférieurs et l’angio-IRM.
L’échographie aorto-iliaque est le premier examen à demander pour confirmer le diagnostique. C’est un examen fiable, reproductible, non invasif et peu couteux. C’est l’examen utilisé en pratique courante pour la surveillance des petits anévrysmes et pour le dépistage. Il permet la recherche d’autres anévrysmes au niveau fémoro-poplités.
anevrisme-aorte-chirurgie-vasculaire-
L’angioscanner aorto-iliaque est plus invasif mais plus reproductible que l’échographie et moins opérateur dépendant. C’est l’examen de choix avant un traitement par endoprothèse ou par chirurgie classique. Il permet les mesures exactes (« sizing ») de l’anatomie de l’anévrysme, de l’aorte et des artères iliaques avant mise en place d’une endoprothèse. Il permet la recherche d’autres anévrysmes au niveau fémoro-poplités et d’étudier l’ensemble de l’aorte.
TRAITEMENT
C’est un chirurgien vasculaire qu’il faut solliciter pour décider de l’indication opératoire, du choix de la technique la plus adaptée et de la réalisation du traitement.
L’indication à traiter un anévrisme de l’aorte abdominale dépend en premier lieu de sa taille (il est très rare d’intervenir pour des anévrismes dont la taille est inférieure à 40 mm). D’autres éléments sont à prendre en considération : la vitesse de croissance de l’anévrysme, son aspect, son étiologie et son caractère symptomatique ou non.
Les indications classiques sont :
Diamètre de l’anévrisme aortique > 50 mm.
Diamètre de l’anévrisme aortique > 45 mm avec une augmentation de la croissance > 0,6 cm par an
Diamètre d’un anévrisme iliaque > 30 mm associé à un anévrysme de l’aorte abdominale.
Anévrisme de l’aorte symptomatique, c’est à dire douloureux, infecté, responsable d’embolie distale, ou rompu.
La forme sacciforme de l’anévrisme, le sexe féminin et d’autres circonstances plus rares peuvent encourager le chirurgien vasculaire à traiter un anévrisme dont le diamètre est compris entre 45 et 50mm.
Les anévrismes non symptomatiques entre 3,5 et 4,5 cm doivent bénéficier d’une surveillante rapprochée avec un examen par échographie Doppler tous les ans.
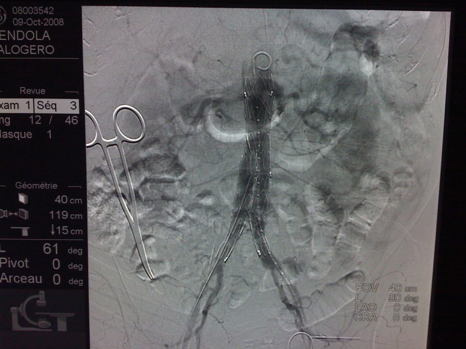
Il existe deux types de traitement qui sont détaillés sur ce site, le traitement chirurgical classique et le traitement mini-invasif par endoprothèse. Le traitement mini invasif par endoprothèse est de plus en plus utilisé, on estime qu’il est utilisé dans 70% à 80% des cas.
[carousel-horizontal-posts-content-slider id= «


