[fm_carousel id= »1″]
POST

Laser endoveineux
Le laser endoveineux Le laser endoveineux est une technique de traitement des varices qui remplacel'ancienne méthode chirurgicale appelée « stripping ». LASER est l'acronyme de “Light Amplification by Stimulated Emission of Radiation” c'est-à-dire « amplification de lumière par émission stimulée de rayonnement ». https://endovascularshop.com/wp-content/uploads/2016/06/angio.mp4 Cette méthode a désormais une dizaine d’années...
Le coroscanner, en tant qu’outil d’imagerie non invasive, a transformé le paysage de la cardiologie moderne.
Principes et déroulement de l’examen Principe : Le coroscanner utilise des rayons X pour créer des images en coupes fines du cœur et de ses artères. L’injection d’un produit de contraste iodé permet de rendre les artères visibles. Fonctionnement : Un appareil de scanner avec un anneau émet les rayons X....
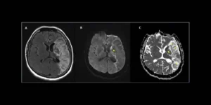
NeuroCovid : les trois stades d’atteinte du système nerveux par le Covid-19
NeuroCovid : les trois stades d'atteinte du système nerveux par le Covid-19 Les orages cytokiniques causés par le Covid-19 sévère pourraient entraîner des dommages cérébraux à long terme, parmi lesquels la maladie d'Alzheimer, alertent des neurologues américains. De la perte d'odorat à la maladie d'Alzheimer, le virus du Covid-19 semble...Cart
You may be interested in… Your cart is currently empty! New in storePolitique de confidentialité
Qui sommes-nous ? Texte suggéré : L’adresse de notre site est : https://endovascularshop.com. Commentaires Texte suggéré : Quand vous laissez un commentaire sur notre site, les données inscrites dans le formulaire de commentaire, ainsi que votre adresse IP et l’agent utilisateur de votre navigateur sont collectés pour nous aider à la détection des commentaires…

Endocardite et myocardite après vaccination moderna et ou Pfizer
Plus de restrictions en Angleterre L'Angleterre a laissé derrière elle jeudi la quasi-totalité des dernières restrictions en vigueur pour lutter contre le Covid-19, avec lequel, espère le gouvernement, la population va s'habituer à vivre comme elle le fait avec la grippe. j'entends de nombreux jeunes âges avec injection de vaccin...
Les anévrismes de l’aorte abdominale
QUI DOIT BENEFICIER D’UNE RECHERCHE D’AAA, Le dépistage doit être systématique chez tous les hommes entre 65 et 75 ans ayant des antécédents de tabagisme. Il doit aussi être systématique chez les patients ayant des antécédents familiaux d’anévrisme de l’aorte. Ce dépistage est réalisé par un examen échographie Doppler. De...
Anévrisme cérébral
https://endovascularshop.com/wp-content/uploads/2021/06/ANEVRISME-BRAQUARD.mp4 On estime qu'environ 5% de la population serait porteuse d'un anévrisme cérébral, mais que l'incidence de la rupture d'anévrisme, sa conséquence la plus sévère, est d'environ 10 par 100 000 habitants par année. Qu'est-ce qu'un anévrisme cérébral? L'anévrisme cérébral apparaît lorsque la paroi d'une artère intracrânienne se dilate de...
Thrombectomie endovasculaire opportune impérative pour des résultats post-AVC favorables
La gestion des AVC a radicalement changé au cours des dernières décennies. Les preuves montrent qu'une admission précoce dans une unité d'AVC offre les meilleures chances de rétablissement au patient victime d'un AVC. L'aspect le plus spectaculaire de l'activité de l'unité d'AVC est constitué par les procédures diagnostiques et thérapeutiques...
[pt_view id= »21c1a0ao7b »]











